刘涛口腔重建是什么鬼?牙齿美容的正解你造吗?
刘涛口腔重建是什么鬼?牙齿美容的正解你造吗?
刘涛发微博用血泪史告诉大家要好好爱惜自己的牙!

不说不知道,原来wuli霓凰郡主的牙也是经过修炼的。

听过“貌美牙为先,齿白七分俏”吗?

明星们为了上镜更好、笑得更美,多少人都在牙上苦下一番功夫。


而刘涛的美牙之路似乎有点曲折……

看不大懂昂,先做几个名词解释:
(追星也要有知识啊,不然你家爱豆在说啥都看不懂,啧啧啧)
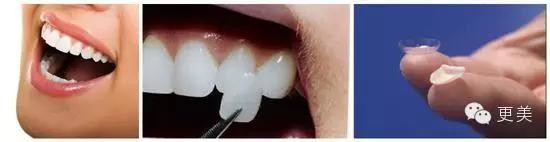
美容牙:刘涛说的应该是烤瓷牙,把自身牙齿磨小,做个烤瓷冠套在上面。

贴个薄片:牙齿贴面,只需把牙齿表面磨掉一点点,甚至不磨,贴上白白的一层薄片,牙齿看起来就很洁白。

全口重建:我们张口、闭嘴,牙齿会很自然的咬合到一个固定位置。当把全口的牙齿都重建,牙齿形状和以前不同,咬合也会重新调整。闭嘴时会有一种“下巴不知道该往哪放”的感觉,所以让wuli刘涛都崩溃了……

可见变美还是要付出代价的,而刘涛显然代价太大,受了更多罪,原因她也说了:当你牙齿健康,就别全口换牙。
就好像你手指受了伤,明明可以消消毒贴个创可贴,严重的去医院缝两针,但你二话不说截肢了!!!

Are you crazy?没中毒不要放大招啊朋友们!
那么想要牙齿美白,正确的方式应该怎样呢,继续往下看:
(目测是个有用的知识贴,聪明人已经点收藏了)
1级:洗牙
即使你每天早晚认真刷牙,还是有一些日常清洁不到的“死角”。
洗牙是利用超声波洁牙机的高频震动,让沉积的牙结石受到震动而松脱。

就像皮肤也需要定期深层清洁一样,洗牙其实算正常保养。
它去掉牙齿表面的牙结石、牙垢和表面的一些色素,因此可以让牙齿白一些!
2级:冷光美白
如果牙齿颜色已经发黄(吸烟、喝咖啡等容易造成),洗牙当然已经不够了。就像你洗脸不可能把脸洗白一样。
很会美的昆凌在《康熙来了》,就自曝牙齿有漂白过


她说的漂白就是冷光美白啦,基本牙齿能提高2-3个色阶。
冷光美白是用高强度蓝光,经由特殊光学处理照射以“过氧化氢”为主要成分的美白剂发生氧化反应,把牙齿的色素置换出来。
简单说就是拿光照一照就白了,SO EASY~

它适合本身比较健康的牙齿,只是去色素。且不能经常做,半年做一次。

3级:牙齿贴面
传说中比较可怕的牙齿,严重有碍观瞻的,冷光美白可解决不了。
四环素牙:在牙发育矿化期服用的四环素族药物,被结合到牙组织内,使牙着色、牙釉质发育不全。

氟斑牙:虽然经常听到含氟牙膏能有效防治龋齿,但摄入过量的氟会使牙齿产生一些斑点,严重时可使牙齿变黄,表面粗糙,容易缺损。还有一些地区饮用水含氟较高,也容易导致。

可乐牙:长期喝雪碧、可乐等碳酸饮料,牙齿矿物质被酸性侵蚀。

严重的会成为这样……(真的不是所长吓唬人)

这种色素沉着很深,甚至牙齿缺损,就要选择牙齿贴面进行修复。


效果还是很美好滴~(贴片颜色还可以选择,想自然,还是想广告一样闪亮亮,看你咯)
4级:全冠烤瓷牙
这就是刘涛说的全口重建了。一般人28-32颗牙,把上下12颗牙(会露出来的牙齿,后槽牙神马的一般犯不着)全部磨小了,套上全瓷冠。
刘涛一开始的牙齿问题并不严重,估计就是为上镜想美白一下,

直接就放大招做烤瓷牙,确实有点犯不着。

那什么情况要做全口重建呢?
①之前提过的四环素牙或者氟斑牙,牙齿色素较深
赵薇还珠格格时期,牙齿颜色明显发黄,两颗门牙拥簇着向内撇

后来.....
你是电, 你是光
你是自带的闪光灯
拍照都不用打光板的


②牙齿不整齐
以前的范冰冰牙齿有点乱,两颗门牙略大略突出。现在的她则是一口糯米小白牙,晶莹剔透的。

有人说她烤瓷牙做太小,可范爷那小头小脸的,这种温婉柔美的小牙,不是特别称她的女人气息么。

③牙会随着年龄增长磨损,如果磨耗特别严重,也可以通过全冠烤瓷牙来恢复到以前的牙齿形态。
刘涛说做了很多次口腔重建,WHY?
①希望颜色更白,更自然些;
②烤瓷牙冠崩瓷了,需要重新做;
③以前做了几颗牙,现在想做成全冠;
④还冠下面的牙根出现问题,比如发炎了要做根管治疗之类的;
⑤烤瓷冠是粘在牙齿上的,随着时间的推移可能会脱落
以上,都有可能哦~↑↑↑
SO,做完全冠不能吃太太太硬的东西(用牙开酒瓶盖这种炫技就别干了!)

活髓牙套上烤瓷冠之后对外界的温度也会比较敏感~
所长良心建议:除非迫不得已、对牙齿要求太高,一般还是做贴片。因为全冠烤瓷牙的磨损量很大,牙齿是不能再生的,后续问题会很多。
像明星那样,天天有摄影机咔咔给特写,要求牙齿非常整齐漂亮,当然会做全冠喽~


附加一种牙齿美容:牙齿矫正
丑小鸭变天鹅的牙套案例实在太多!牙齿矫正确实也会改变面部形态。

女明星唯一不抗拒公开的就是牙齿正畸了吧!

国内国外、男星女星,很多人都受益过。

但!长大成人戴牙套也太不方便了吧!主要是丑!
星爷让GIGI扮丑就是戴眼镜、戴牙套哇!

好在现在有隐形牙套。

有多隐形呢?
明星自曝给特写,都看不出来牙套在哪里啊~

很多人可能不知道,其实王队长也在偷偷调整自己的牙齿呢~

这么不明显,简直比让所长揪整容还难啊!

你看,想要美,想要笑起来更美,或许不需要像刘涛那么拼,但是牙齿美容是少不了滴~

本文科普支持:首都医科大学附属北京口腔医院 主任医师李钧
想了解更多,请关注微信公众号更美!